【原創(chuàng)博客】前牙全瓷固定橋的二次修復——董萬順
轉: 董萬順 愛齒-KQ88口腔醫(yī)學
“前牙全瓷固定橋的二次修復”
董萬順

不做庸醫(yī)

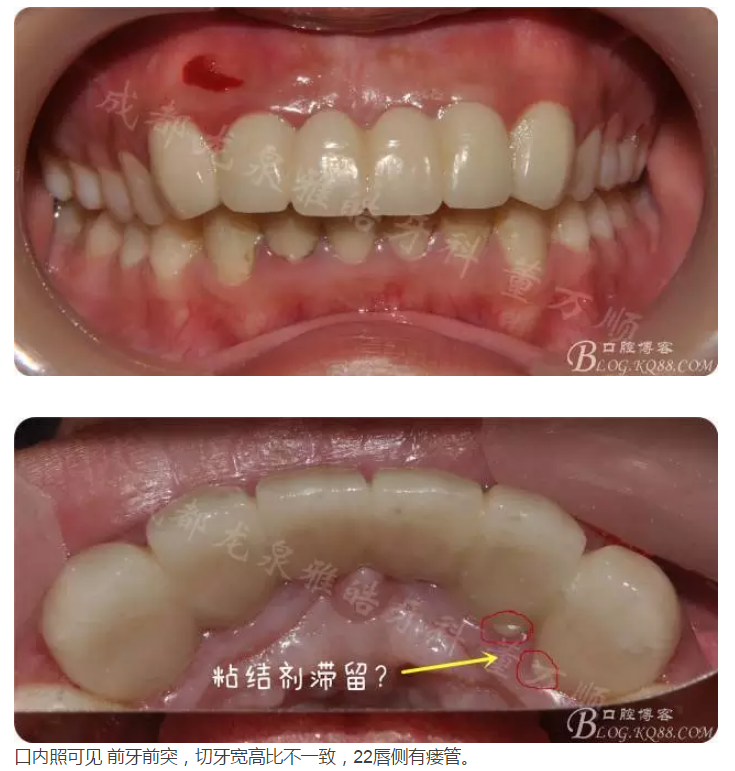
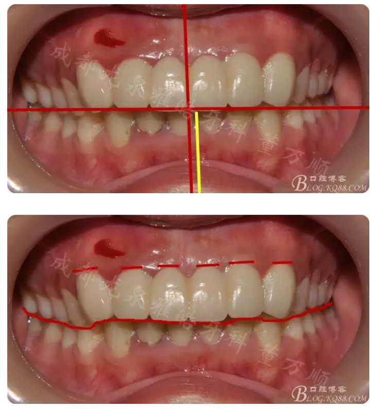
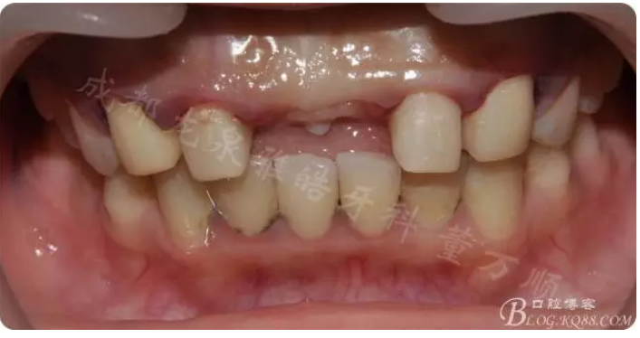
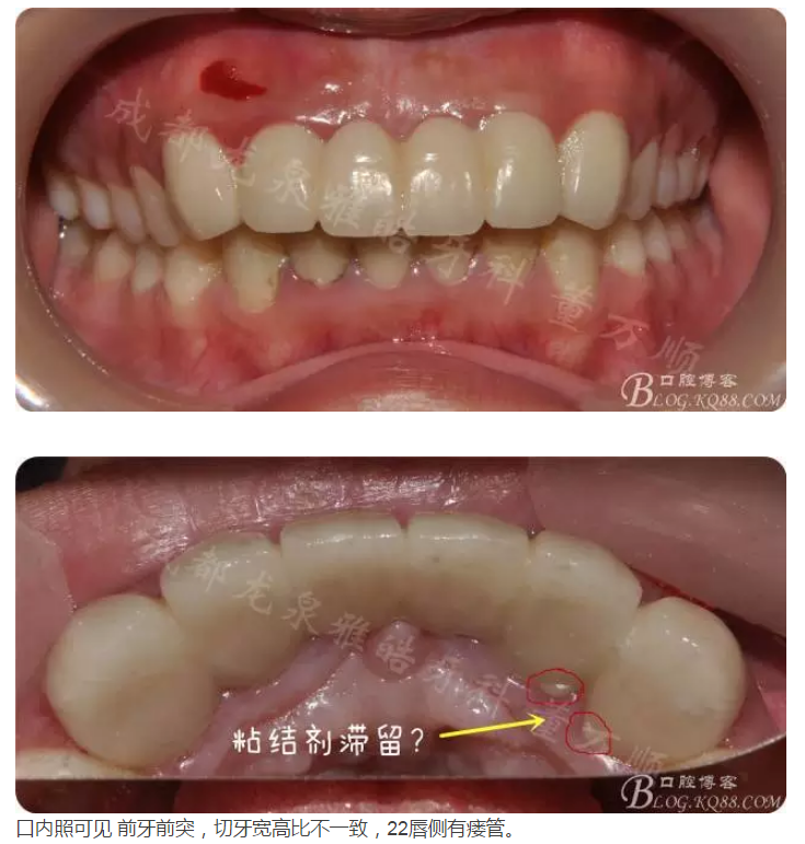
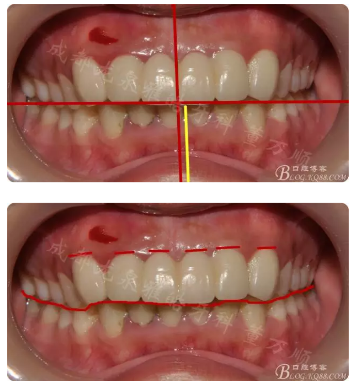
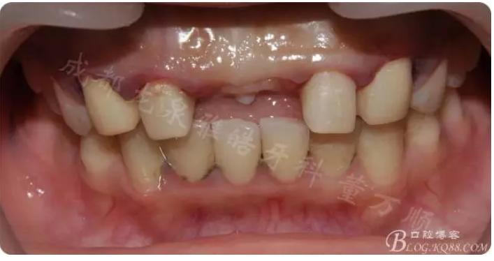
女 19歲 前牙義齒在XX醫(yī)院修復3個月余,來的時候主訴前牙開唇漏齒,不敢大聲說話 ,嘴唇不能閉合??瓷先ズ苄邼?。
經過與家長溝通得知,患者是由于幾歲的時候前牙外傷,當時馬上去醫(yī)院處理,但是接診醫(yī)生說要等到孩子18歲以后才能做修復,所以這么多年一直就這么缺損,期間問了好多次,主治醫(yī)生一直堅持要成年以后才能修復,所以后來索性就一直沒有在去處理。幾個月前,拔除了前牙殘根(之前殘根一直保留沒有做任何處理,我猜可能已經沒有保留價值了) 行前牙3到3的全瓷固定橋。






其實看到這里 我不知道大家的感受是不是跟我一樣,有很多疑惑?
為什么當初制定治療計劃不選擇矯正后,種植牙修復呢?
為什么之前外傷的時候,不做個即可義齒暫時修復。
為什么當時沒有把殘根做根管治療保留下來呢?
為什么當時患者沒有去另外的醫(yī)院在看一下呢?
為什么......等等等等
后來患者家屬告訴我 這個是已經是做過正畸后,然后在做的烤瓷冠,種植牙是家屬沒有選擇。
當我告訴患者 愿不愿意在嘗試做一次正畸,然后在考慮修復的時候,患者猶豫了片刻拒絕了。
其實小女孩的要求很簡單,只要能讓其閉上嘴巴不漏牙齒,笑的時候自然一點就好了。聽到這句話的時候,真的心里不免有些許心酸。















下一篇:【口腔正畸】安氏2類錯合的矯治上一篇:漲姿勢:“矯牙”的十萬個為什么
相關資訊
推薦產品

- 翊山牌肩頸按摩器爽肩寶
- 零售價:198元 品牌:上海翊山 型號:ESN-OS4按摩披肩 翊山牌爽肩寶按摩器 ,怎么緩解低頭族頸椎病? 司機肩頸病?為牙醫(yī)職業(yè)病緩解疲勞、汽車司機及低頭族必備品。肩頸按摩器哪個牌子好?全國服務熱線 029-88651307











