全瓷修復體貼面的制備 ---牙科醫(yī)生必須了解
全瓷修復體貼面的制備
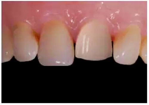
貼面的制備種類很多——為了滿足微創(chuàng)治療的最小量制備到大面積的制備,通常貼面的制備是在牙釉質內進行,大多數貼面的制備量不到全冠制備量的3/4,從而最大限度的保存了腭側的牙體組織。借助全瓷材料和粘接技術相結合的方式,在大多數情況下單冠制備已不再成為主要修復方式。
- 釉質層最小制備量(0.5 mm)
- 制備齦上邊緣。
- 切緣制備量 (2 - 2.5 mm)
- 保留鄰牙接觸點。
- 制備定位槽。
貼面制備的一般性準則

切緣腭側制備倒斜面(切緣就位)

切緣制備時略傾向舌側 (唇向就位)
若要保留至少1.5mm的牙體組織,那么制備量應從頸部至切緣方向逐漸減少
應避免“槽形”制備
邊緣制備界限
貼面制備
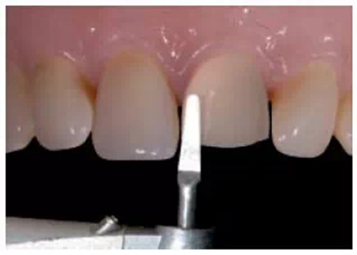
貼面制備所需器械為粗粒度和細粒度的尖頭金剛砂車針以及用于制備深度和定位槽的球形金剛砂車針
微創(chuàng)深度定位置
注意牙齒唇側的解剖弧度
唇側的均勻制備
為了方便檢查制備量,建議使用制備模板,其也可由實體模型制成
頸部邊緣制備至齊齦水平
鄰接區(qū)的制備
要特別注意頸部接近鄰面的區(qū)域。如果制備得太平,可能會露出清晰的變色牙組織

添加深度定位槽之后,貼面切緣即定位,以便之后的精確就位粘結

放置排齦線,以便于頸部邊緣的精細制備

頸部邊緣的精細制備

鑒于美學效果的考慮,頸部肩臺可制備成較明顯的凹形斜面chamfer

利用振動銼刀可避免鄰接區(qū)的“槽形制備”

同樣在切緣區(qū)內的精細制備上,金剛砂銼刀的效果也極為出色

來源: 口腔牙科義齒醫(yī)技溝通平臺
此文關鍵字:全瓷修復體貼面的制備
相關資訊
- 《鼓浪嶼之波》鐘麗燕
- 追本溯源——早期傳統(tǒng)功能矯治器概論
- 徐霞《我心芬芳》
- 頜位關系的垂直高度與水平關系
- 功能性全口吸附性義齒-李方明
- 美國人唱《敖包相會》
- 口腔治療術前全身系統(tǒng)疾病評估
- 《美麗的草原我的家》鐘麗燕
- 口腔各科治療需要關注牙周健康-北大口腔張鳳秋
- 《我不會放棄》杰森·瑪耶茲_鄭成河
推薦產品

- DMG印模系列產品
- DMG印模硅橡膠系列產品,DMG 哈尼格加聚硅橡膠印膜材料(輕體型)HonigumLight、塞拉格、軟襯材料、光固化個別托盤??瀑Q嘉友口腔咨詢熱線029-88651307












