記一顆后牙嵌體的形成
姓名:李某
性別:男
年齡:20歲
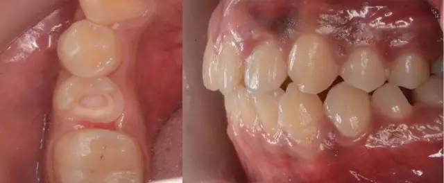
診斷:右下5因齲齒造成大面積缺損,
經根管治療后轉修復科行牙體缺損修復。

1高嵌體備牙
2口內掃描儀
數字化取模型
3技工室電腦設計 和電腦制作 CAD C AM
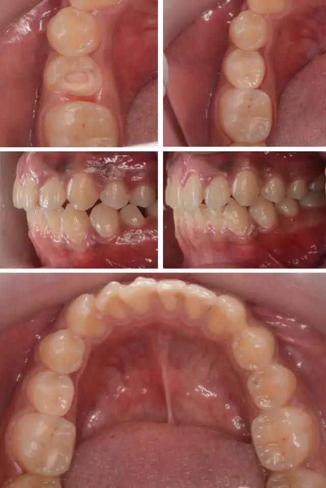
4臨床試戴粘接
修復計劃
高嵌體備牙

口內掃描儀數字化取模型


濰坊牙科醫(yī)院的呂林醫(yī)生現場掃描


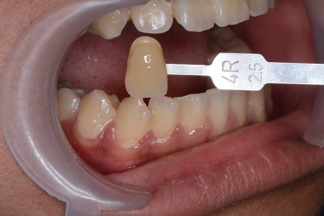
比色

技工中心計算機設計和制作(CAD/CAM)



臨床試戴和粘接

來源于青州濰坊牙科醫(yī)院
此文關鍵字:宇森牙科電動馬達 |美學修復電動馬達















