超聲牙周刮治案例
病例:患者男性47歲





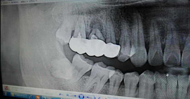
右下8骨埋伏并且黏連;從根分叉處通過;有彈性;術中看到神經(jīng)束
實在找不到;近中牙冠沒去干凈
像這種不切除的牙冠,以后吸收的可能性不是很大,但有排除的可能性,自己自行排出,要是牙根的話吸收的可能性比較大
像這種沒有癥狀的殘留牙體組織不用去除可以吧
加了負腎
出血還可以,不是很多
GRACE刮治器掌握起來還是有一定難度的
手動器械除打麻藥處置,患者接受程度難一點與超聲處置的本質有何區(qū)別?
超聲刮治無需麻藥,一次就可以完成。
手工能夠刮干凈的,超聲一樣可以。這個在于操作的人,而不是設備。
術后效果評估?超聲后還需要根面平整嗎?
可以看一下閆福華翻譯的《超聲牙周刮治原理與技術》
各位老師:請問一下手動刮治器與品瑞機械牙周清理的本質區(qū)別
到底是手動刮治還是機械清理的牙周處置程度合理
手工刮治必須打麻藥,而且效率低,需要病人多次復診。
患者邊做邊看電影


此文關鍵字:各類口腔病例















