在線留言|網(wǎng)站地圖

歡迎光臨陜西嘉友科貿有限公司官網(wǎng)

陜西嘉友科貿有限公司

熱點資訊
當前位置:首頁 » 嘉友資訊中心 » 綜合病例 » CBCT導航下多生牙拔除,混合牙列期矯正思考!


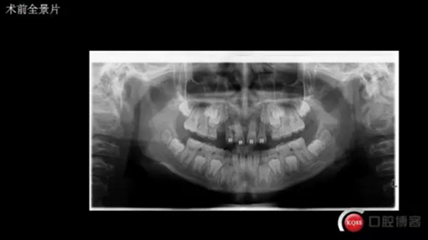
三年半前,家長領著小孩前來要求矯正牙齒,男,約八歲,兩中切牙間隙約12MM,有一多生牙,全景片顯示深處還橫著一顆,也許正處叛逆期,小孩非常的調皮,經(jīng)過幾次的各種哄和商談,也可能為了好看,終于勉強同意先拔掉露出的多生牙,前牙片斷弓關閉間隙


CBCT導航下多生牙拔除,混合牙列期矯正思考!

CBCT導航下多生牙拔除,混合牙列期矯正思考!


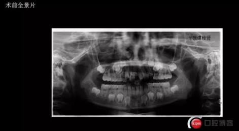
拔掉一顆后大概大半年時間很快就把間隙關閉了,但是由于還有一顆橫在兩中切牙間,牙縫始終得不到完全關閉,此時只能拔掉深部埋伏阻生的牙才能進一步矯正治療,但小孩一聽又要做一次手術有不同意了,這樣又拖了兩年多,長大了一些自然懂事了些。


CBCT導航下多生牙拔除,混合牙列期矯正思考!

CBCT導航下多生牙拔除,混合牙列期矯正思考!



CBCT術前分析,精準找到牙齒的具體位置


5.png



確定了方案和術前良好溝通和小孩良好的配合,牙齒很快就拔了出來。


6.png

7.png

8.png

9.png



年輕就是優(yōu)勢,牙齦長得非??旆浅:?!


10.png

11.png

12.png

13.png


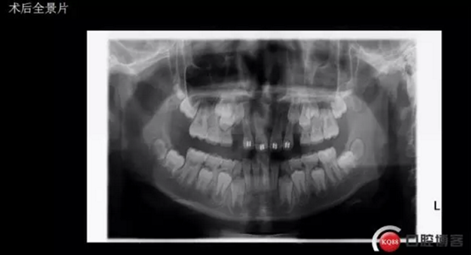
術后思考:患兒如今已經(jīng)十一歲多, 雖然已經(jīng)給尖牙騰出了位置,然而全景片顯示兩顆尖牙位置依然很深,是主動出擊還是靜觀其變呢?歡迎大家共同探討!


來源:KQ88口腔博客