這是幫助沈陽永嘉齒科金海門診部邴宇慶主任完成的一例,前牙種植美學區(qū)塑形案例。
圖一、患者拔牙后即刻種植,并同期安放愈合基臺

圖二、四個月后種植體完全骨結合后,去除愈合基臺后見種植體袖口處外觀形態(tài)。

圖三、種植袖口處正面觀,通過對側同名牙及鄰牙的軟組織形態(tài)對其進行評估。

圖四、比色,用于指導制作的臨時修復體顏色

圖五、在技工室,利用臨時基臺制作完成的臨時修復體。

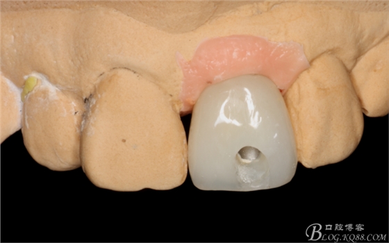
圖六、臨時修復體在模型上的正面觀

圖七、臨時修復體在模型上的舌面觀

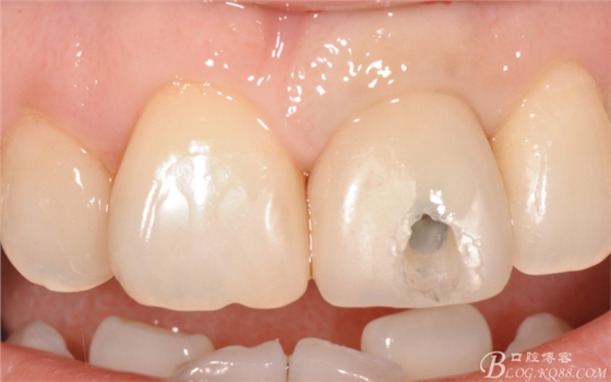
圖八、臨時修復體在口內種植體上就位后外觀,螺絲固定后,唇側孔用樹脂暫封好。

圖九、十周周后復查,并對臨時修復體進行修改,在軟組織處添加樹脂繼續(xù)塑形。

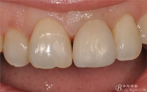
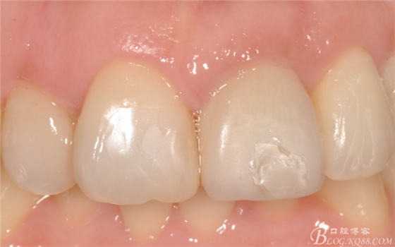
圖十、二十周以后患者復查,可見軟組織外觀恢復情況非常好

圖十一、軟組織處近拍情況,可見與天然牙組織外觀無差異

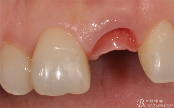
圖十二、取下臨時修復體后,可見種植體袖口處美觀的貝殼狀外形

圖十三、咬合面觀,可見袖口輪廓與天然牙解剖區(qū)斷面輪廓相似

目前,該患者整個軟組織塑形過程接近9個月,但9個月尚不足以達到患者滿意的效果……
來源于河南百豐儀器有限公司的博客




