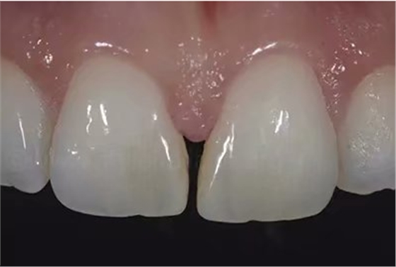
![[牙體牙髓] 【分享】牙間隙收縮術一例 [牙體牙髓] 【分享】牙間隙收縮術一例](/Mobile/UploadFiles/FCK/2019-09/6370521797408413776599465.png_280.jpg)
中央門牙的特寫鏡頭視圖;為了美觀,需要牙間隙閉合。
![[牙體牙髓] 【分享】牙間隙收縮術一例 [牙體牙髓] 【分享】牙間隙收縮術一例](/Mobile/UploadFiles/FCK/2019-09/6370521799020934417573187.png_280.jpg)
最初的符合治療15年后的情況,修復體仍然完好無損,但在形狀方面仍有改進的空間,尤其是在前庭區(qū)域。
![[牙體牙髓] 【分享】牙間隙收縮術一例 [牙體牙髓] 【分享】牙間隙收縮術一例](/Mobile/UploadFiles/FCK/2019-09/6370521800678768131176742.png_280.jpg)
使用3M超薄輪廓和拋光盤對表面進行處理,去除變色和碎屑。
采取這種措施有兩個原因,一是為了確保美學效果,二是為了創(chuàng)造良好的粘合條件。
![[牙體牙髓] 【分享】牙間隙收縮術一例 [牙體牙髓] 【分享】牙間隙收縮術一例](/Mobile/UploadFiles/FCK/2019-09/6370521804786633212860248.png_280.jpg)
經(jīng)過清潔表面,可用于蝕刻和粘合。
![[牙體牙髓] 【分享】牙間隙收縮術一例 [牙體牙髓] 【分享】牙間隙收縮術一例](/Mobile/UploadFiles/FCK/2019-09/6370521806217901532420118.png_280.jpg)
用3M通用蝕刻劑蝕刻牙釉質15秒,然后用水沖洗去除蝕刻劑。
![[牙體牙髓] 【分享】牙間隙收縮術一例 [牙體牙髓] 【分享】牙間隙收縮術一例](/Mobile/UploadFiles/FCK/2019-09/6370521809635132775280647.png_280.jpg)
![[牙體牙髓] 【分享】牙間隙收縮術一例 [牙體牙髓] 【分享】牙間隙收縮術一例](/Mobile/UploadFiles/FCK/2019-09/6370521816200841818488502.png_280.jpg)
施加第一復合層后的外觀。
![[牙體牙髓] 【分享】牙間隙收縮術一例 [牙體牙髓] 【分享】牙間隙收縮術一例](/Mobile/UploadFiles/FCK/2019-09/6370521817852425452876905.png_280.jpg)
一周后,修復體在美學上與周圍的牙齒結構融合得很好。
![[牙體牙髓] 【分享】牙間隙收縮術一例 [牙體牙髓] 【分享】牙間隙收縮術一例](/Mobile/UploadFiles/FCK/2019-09/6370521820539959854499774.png_280.jpg)
腭視圖的兩個后部截面矩陣放置在一個直立的位置,以便形成一個自然的牙齒形狀。
![[牙體牙髓] 【分享】牙間隙收縮術一例 [牙體牙髓] 【分享】牙間隙收縮術一例](/Mobile/UploadFiles/FCK/2019-09/6370521822086854658074441.png_280.jpg)
前視圖的兩個后部截面矩陣放置在一個直立的位置。通常建議使用具有對比色的矩陣。
![[牙體牙髓] 【分享】牙間隙收縮術一例 [牙體牙髓] 【分享】牙間隙收縮術一例](/Mobile/UploadFiles/FCK/2019-09/6370521823577498731520041.png_280.jpg)
側面圖:采用復合材料填充中切牙與相鄰基質之間的空間。
![[牙體牙髓] 【分享】牙間隙收縮術一例 [牙體牙髓] 【分享】牙間隙收縮術一例](/Mobile/UploadFiles/FCK/2019-09/6370521824974391618352966.png_280.jpg)
光固化后的情況和去除這兩種基質。
![[牙體牙髓] 【分享】牙間隙收縮術一例 [牙體牙髓] 【分享】牙間隙收縮術一例](/Mobile/UploadFiles/FCK/2019-09/6370521826457223094055995.png_280.jpg)
使用3M金剛石拋光系統(tǒng)的米色3M?Sof-Lex?預拋光螺旋拋光修復表面。
![[牙體牙髓] 【分享】牙間隙收縮術一例 [牙體牙髓] 【分享】牙間隙收縮術一例](/Mobile/UploadFiles/FCK/2019-09/6370521828716627011153934.png_280.jpg)
使用3M金剛石拋光系統(tǒng)的粉紅色3M金剛石拋光螺旋拋光修復表面。
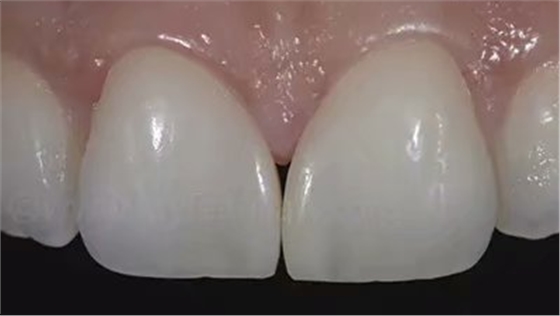
![[牙體牙髓] 【分享】牙間隙收縮術一例 [牙體牙髓] 【分享】牙間隙收縮術一例](/Mobile/UploadFiles/FCK/2019-09/6370521831466662217419196.png_280.jpg)
中央門牙的自然表面紋理,包括新的復合修復體。
![[牙體牙髓] 【分享】牙間隙收縮術一例 [牙體牙髓] 【分享】牙間隙收縮術一例](/Mobile/UploadFiles/FCK/2019-09/6370521833052620018706715.png_280.jpg)
近距離觀察上頜門牙,這些修復體與自然牙齒結構幾乎沒有區(qū)別。該復合材料與周圍牙齒的顏色完美融合。
文章來源:懂點兒牙



