主訴 病史
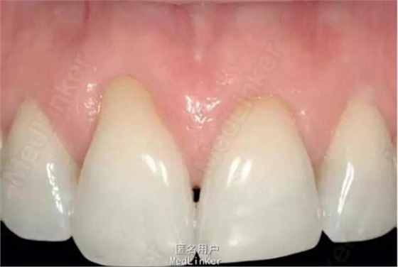
48歲女性,上中切牙牙齦退縮,要求解決美觀問題

查體 輔查
右上中切牙有4mm牙齦退縮,左上中切牙有2mm牙齦退縮,牙根暴露
診斷 處理
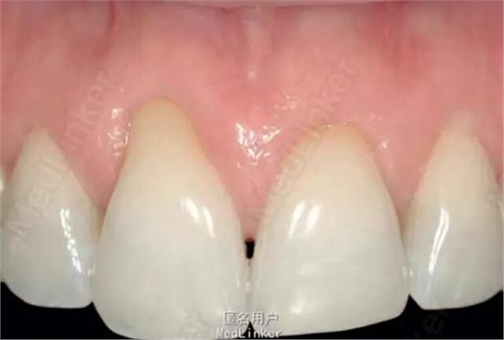
診斷:牙齦退群 治療:牙齦美學修復 圖2在唇系帶旁做直達骨膜下的隧道式切口,從中切牙的齦溝到膜齦聯合全程剝離以利于牙齦冠向復位時釋放壓力 圖3在隧道內放入可吸收的膠原膜,冠向復位齦緣,并用縫線固定齦緣及里面的膠原膜,然后再將縫線打結,結頭用復合樹脂粘接在牙冠中1/3。 圖4正中的切口位置和壓力接近,用6個0縫線縫合。


隨訪 討論
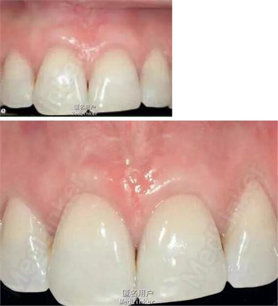
術后三周拆線,下圖分別為術后12個月后及術后35個月后,效果非常好,患者非常滿意

來源:陳醫(yī)師 醫(yī)聯商城




