平時最常用的,就是調牙尖交錯位咬合點,和調功能運動的咬合
01,牙尖交錯位咬合點
①先用100微米做粗調

▲ 圖1:100µm咬合紙

▲ 圖2:100µm咬合紙的效果
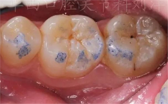
②100微米調均勻后,換40微米細調

▲ 圖3:40µm咬合紙

▲ 圖4:40μm咬合紙的效果
02,功能運動咬合點
①咬住200微米藍色咬合紙,前后左右磨,

▲ 圖5:200μm咬合紙
▲圖6:200µm 功能運動
② 然后換用40微米紅色咬合紙,牙尖交錯位咬合

▲圖7:40µm咬合紙
▲圖8:40µm 正中咬合
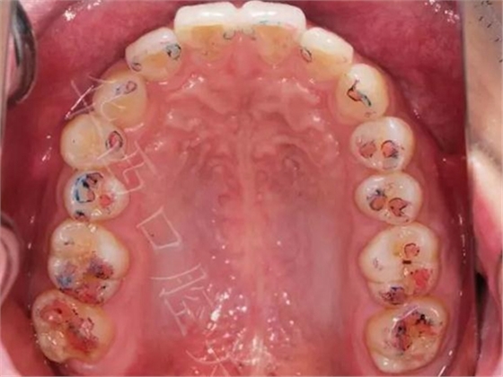
③ 結果:


▲圖9:最終結果
03,精細檢查
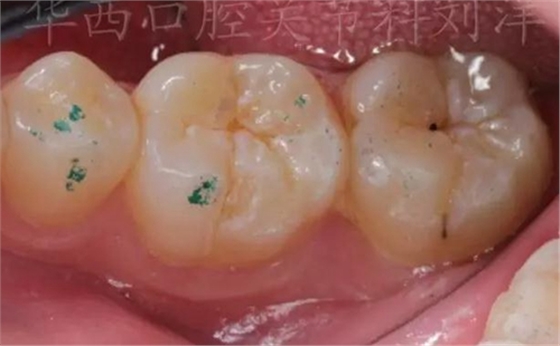
結束前,用8微米檢查一次接觸點的均勻程度

▲ 圖10:8μm咬合紙

▲ 圖11:8μm咬合紙的效果
來源:原創(chuàng) 劉洋 咬合工作室


