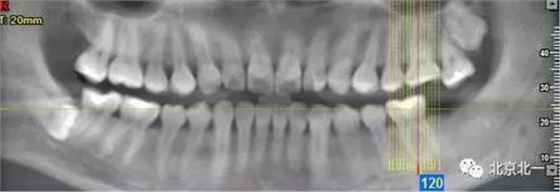
病例資料:一般情況,患者女性,28歲, 主訴:要求拔右側下頜智齒,檢查:右側下頜第三磨牙未見萌出, 拍片如圖。
圖一:CBCT顯示右側下頜水平骨埋伏牙,牙冠距離下牙槽神經管接近。

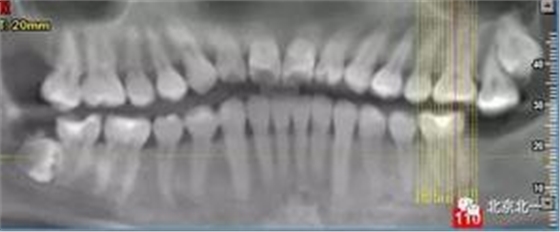
圖二:自帶的CBCT顯示下牙槽神經管貼著智齒走形。

圖三:截面圖顯示神經管位置。

圖四:三維重建

圖五:三維重建可見牙冠突破舌側

圖五:臨床所見

圖六:切開翻瓣, 看見骨面清晰,未見智齒

圖七:去骨后看不見牙齒位置方向。顏色無法區(qū)分,拍片確認一下剛才去骨的以及截的冠就是智齒。

圖八:把牙根優(yōu)先取出后還是看不見牙冠在哪里,實在貼的神經管太近, 只能再次拍一個cbct確認。

圖九:重建后可見牙冠位于第二磨牙遠中,舌側傾斜。

圖十:實際情況:看到么在第二磨牙頰側接近近中區(qū)域。關鍵牙顏色和骨顏色一致, 只有牙冠部分是白色能看出來, 但是它卻深深的把頭埋下。

圖十一:大功告成。

圖十二:拍片確認無誤。

術后第二天,右側面部稍有腫脹,撤引流條拍攝正面照片。歡迎同行 探討一下什么是微創(chuàng)拔牙。
總結:單純拍片看牙齒并不復雜, 通過微創(chuàng)拔牙有絲分裂可以避免傷及神經, 本病例特殊之處在于牙齒顏色和骨顏色無法區(qū)別。導致去骨或者分牙比較茫然, 不可大意,以及磨牙的手感和去骨的手感一致時,兩者不好區(qū)分。 只能偏向保守, 多角度拍片再三確認后予以安全拔除。 另外CBCT模式上看智齒位置也有誤差,醫(yī)師要根據經驗調整,特別是在這種哪里是骨,哪里是牙的情況,不能盲目大范圍去骨導致術中骨折。
另外重點:強調無菌,注意不要污染手術,位置深,創(chuàng)傷大,完全是一個口腔頜面部手術, 按照外科原則準備。 該病例手術后口服消炎藥,并沒有輸液抗炎。 腫脹不明顯和書中完全無菌操作, 用生理鹽水冷卻的專用種植機分牙,拒絕管路水污染, 無敲擊以及術后引流片引流有很大關系。
來源:北一王明



