Modern adhesive dentistry has provided clinicians with simplify restorative procedures by opening new scenarios once unthinkable, thanks to the new adhesive techniques. To this end we nowadays have the possibility to perform partial restorations on anterior teeth, enabling us to get the best possible outcome.

279352.jpg
This is Italo, 32 years old, a few hours after a bicycle accident, coming from the hospital emergency room, on February 2006

345657.jpg
The patient has a pulp hemorrhage on tooth 2.1 suffering for a deep palatal fracture

686108.jpg
First of all it's removed the fractured fragment

162048.jpg
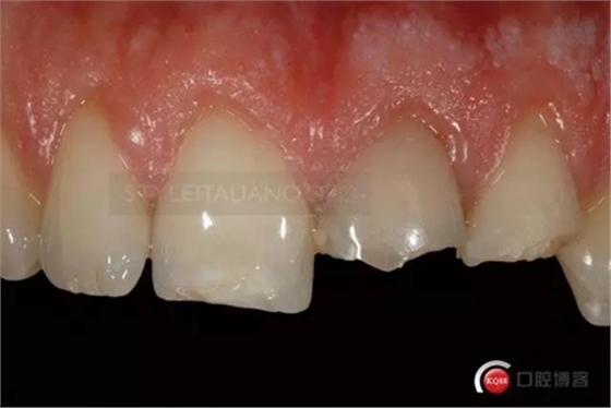
More than 5 mm fracture. Tooth 2.2 is still vital

236331.jpg
So, after the root canal treatment under the dam with correct pulp chamber opening, a cleaning of the cavity access and a root filling level control

617365.jpg
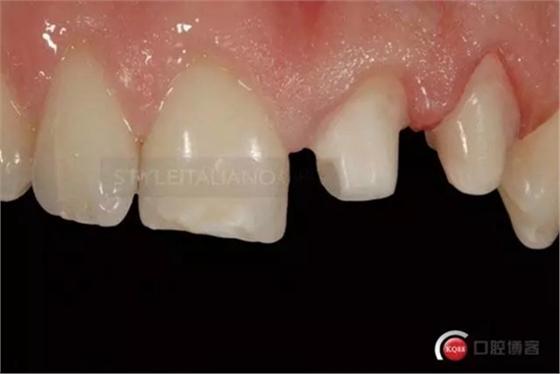
I performed an immediate dentin sealing on tooth 2.2 against bacterial leakage and sensitivity

126051.jpg
Due to the pulp hemorrhage tooth 2.1 has a discromy.

548306.jpg
In order to prevent the external root resorption caused by a not correct bleaching approach, I put a flow barrier on the gutta-percha

836088.jpg
Before performing an endo bleaching in office, under the dam, with 35% hydrogen peroxide and a composite stable temporary restoration with a coronal seal. Coronal seal is one of the most important factor of the clinical success during the time, because coronal bacterial infiltration are one of the main causes of failure after root canal treatment

602446.jpg
I performed an orthodontic extrusion for 6 months

225073.jpg
And then a wax up by my dental technician on model casts

391045.jpg
To prepare silicon keys to guide my build ups and preparations

568828.jpg
I decided to bond a fiber post for the build up retention, choosing the post on the basis of root canal shape and marking its correct hight with a pencil

746392.jpg
The post was also shaped to be covered by a uniform restorative material layer

391531.jpg
All the bonding post procedures with a dual composite cement were guided by the silicon key made on the wax up

279752.jpg
I used transparent matrices to protect the adiacent teeth during adhesion steps

711882.jpg
Layering was completed with a single shade dentin composite mass

568026.jpg
All the preparation came from a rational and not empirical project done by the wax up

550778.jpg
and guided by the silicon keys to respect the correct space for the restorative material

314800.jpg

308839.jpg
Despite having experience with both ceramic and composite materials, I decided to treat this clinical case with indirect composite overlays for the cost and benefits of this materials

231756.jpg
After about a week I bonded the composite overlays one by one under the dam. First step was to perfectly clean the preparation sandblasting them with glycine powder

413188.jpg
Then using 37% phosphoric acid gel for 15 seconds

553981.jpg
Applying the bonding brushing 2 or 3 times

660828.jpg

115589.jpg
I removed all the composite excess before curing for 60 seconds for each side with a high power led lamp

215967.jpg
I repeated the same steps on tooth 2.2

231848.jpg
Until the immediate final outcome

242607.jpg
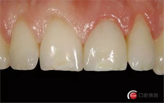
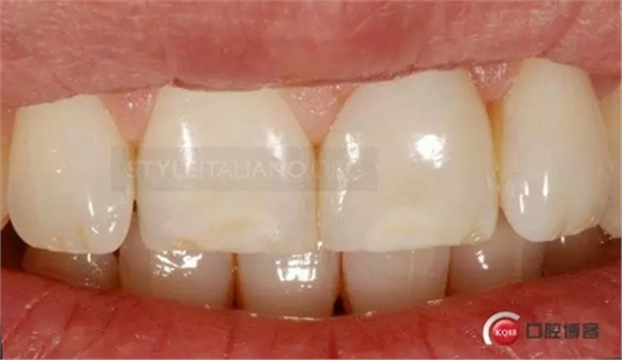
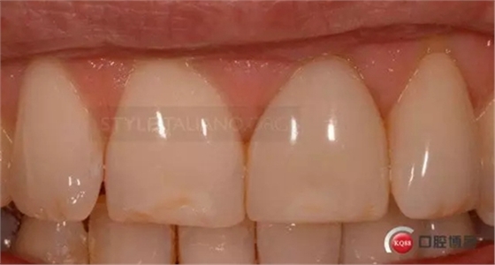
Control one month check shows a natural smile

344244.jpg
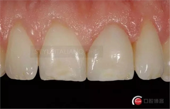
And the vestibular

333621.jpg
and palatal tissue healing

791330.jpg
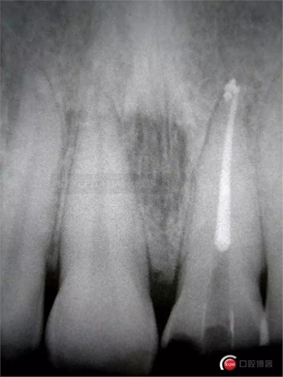
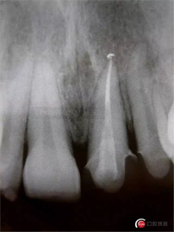
The control x-ray shows emergency profile modification on tooth 2.1 and restorations sealing even if composite overlays are quite radio transparent

875993.jpg
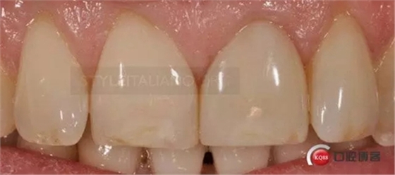
4 years check

336370.jpg
10 years check
Conclusions
The evolution of restorative materials has led dental companies to produce composite products with a predictable and long lasting result during the time, with a favorable cost performance ratio
Bibliography
Oper Dent. 2003 Nov-Dec
Microhardness and color changes of human dentin with repeated intracoronal bleaching.
Lai YL, Yang ML, Lee SY.
Torabinejad M., Ung B. et al.: “ in vitro bacterial penetration of coronally unsealed endodontically treated teeth”, J. Endodon., 1990, 16: 566-9
Tan et al, J Prosthet Dent 2005; 93:331-6. In vitro fracture resistance of endodontically treated central incisors with varying ferrule heights and configurations
Goto Y, Nicholls JI, Phillips KM, Junge T. Fatigue resistance of endodontically treated teeth restored with three dowel-and-core systems. J Prosthet Dent. 2005 Jan;93(1):45-50
Duke S. New directions for posts in restoring endodontically treated teeth. Compendium. 2002 23;2:116-122
來(lái)源:牙醫(yī)愛(ài)看的 KQ88口腔醫(yī)學(xué)網(wǎng)




