患者因上口瓷牙松動,下牙托戴不穩(wěn)求診。

把上下松動牙殘撥除后開始種植。先種下牙:

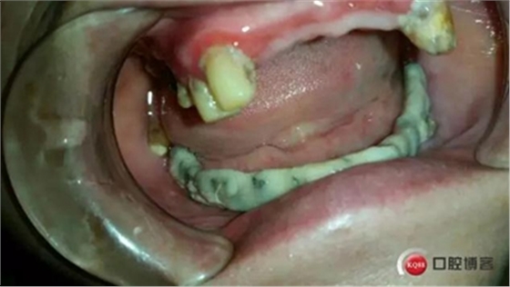
種完下牙以樹脂作夾板固定

然后種上牙:

再用樹脂處理上牙:

取牙模

烤瓷牙回來:

戴牙

開嘴效果

全過程約70日。因下牙槽骨較低,事前拍全景片。至今完成修復3個月,咀嚼效果良好。
來源:KQ88口腔博客
029-88651307
2017年10月23日16:41
患者因上口瓷牙松動,下牙托戴不穩(wěn)求診。

把上下松動牙殘撥除后開始種植。先種下牙:

種完下牙以樹脂作夾板固定

然后種上牙:

再用樹脂處理上牙:

取牙模

烤瓷牙回來:

戴牙

開嘴效果

全過程約70日。因下牙槽骨較低,事前拍全景片。至今完成修復3個月,咀嚼效果良好。
來源:KQ88口腔博客
獲得民謠詩人的美稱《雨聲》(歌手:丹·佛格伯Dan Fogelberg)海琳·菲舍爾Helene Fische《我的世界》恩雅Enya演唱《自然之子》恩雅《我怎能不歌唱》莫扎特