直奔主題
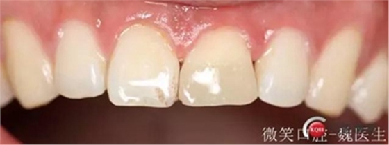
患者 男性 因打籃球撞擊導(dǎo)致門牙折斷3日前來就診,下面是出診的圖片。
可見漏髓,舌隆突位置折斷至齦下約2MM左右。煙斑較多。

取出舌側(cè)牙齒碎片 一次根管治療 暫封王暫封根管口

電刀做了切齦

即可樹脂恢復(fù)牙齒

復(fù)診牙齦恢復(fù)不佳,涂布派力奧后等7天

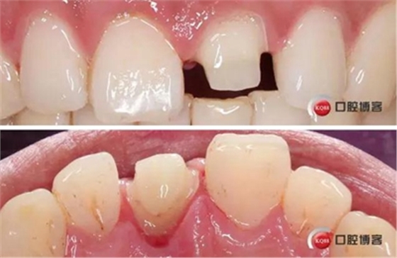
牙齦情況尚可,打樁牙體預(yù)備

比色

烤瓷牙回來試戴,患者滿意顏色。(我更滿意邊緣非常密合)


來源:KQ88口腔博客
029-88651307
2017年10月19日14:43 人氣:-
直奔主題
患者 男性 因打籃球撞擊導(dǎo)致門牙折斷3日前來就診,下面是出診的圖片。
可見漏髓,舌隆突位置折斷至齦下約2MM左右。煙斑較多。

取出舌側(cè)牙齒碎片 一次根管治療 暫封王暫封根管口

電刀做了切齦

即可樹脂恢復(fù)牙齒

復(fù)診牙齦恢復(fù)不佳,涂布派力奧后等7天

牙齦情況尚可,打樁牙體預(yù)備

比色

烤瓷牙回來試戴,患者滿意顏色。(我更滿意邊緣非常密合)


來源:KQ88口腔博客
《鼓浪嶼之波》鐘麗燕追本溯源——早期傳統(tǒng)功能矯治器概論徐霞《我心芬芳》頜位關(guān)系的垂直高度與水平關(guān)系功能性全口吸附性義齒-李方明