12歲的男性患者,因UR2異位轉(zhuǎn)診至正畸醫(yī)生處治療。
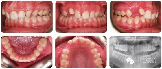
該患者錯牙合特點(diǎn)(圖2.38)是什么?

● II類2分類切牙關(guān)系。
● 覆牙合較深。
● 中線不調(diào)(上中線右偏2mm)。
● 后牙近中尖對尖關(guān)系(雙側(cè))。
● 上牙弓中度擁擠。
● UR3未萌,可能與UR2異位。
上前牙咬合片(圖2.39)提示什么?

UR3未萌,在腭側(cè)與UR2異位。UR3牙冠近中傾斜且與UR1牙根緊貼,UR1牙根可能有大量吸收。
圖2.40所示什么?

拍攝了錐形束CT(CBCT),用于觀察UR1牙根的情況。證實(shí)UR1牙根的吸收。
該病患的主要問題
● II類2分類錯牙合及后牙反牙合。
● UR1預(yù)后不佳,脫落后可用固定橋或種植牙來代替。
● 目前緊迫問題是UR3的阻生和異位。
需要納入上牙弓,排齊UR3。由于UR1預(yù)后不佳,更需要牽引UR3入牙列,不幸的是,UR2的萌出位置不佳阻礙了UR3的納入排齊。
治療的選擇是什么?
首先解決牙齒異位問題,一種方案是將UR2遠(yuǎn)中移動,牽引UR3到UR2的位置。然而用側(cè)切牙代替尖牙不是很理想。
另一種方案是移植UR3到正確位置。然而,移植后UR3長期的預(yù)后可能不佳。由于隨后的正畸治療中UR3難以移動,造成治療難度增加。
最后一種方案是拔除UR2,開窗牽引UR3入牙列。這是該患者選擇的方案。
針對潛在的錯問題制訂計(jì)劃也很重要。鑒于該
患者出于生長期,下牙弓無擁擠,同時為輕度II類2分類錯牙合,計(jì)劃通過頭帽牽引改正后牙關(guān)系以及后牙反牙合,拔除UR2,開窗牽引UR3,通過固定矯治排擠UR3協(xié)調(diào)上下牙弓,改善切牙關(guān)系。
從長期治療來看,UR2和UR1的缺牙間隙,可能需要種植牙或粘結(jié)橋來修復(fù)。將UR3牽引到正確位置使利用粘結(jié)橋修復(fù)UR2變得更為簡單。而UL1也可作為粘結(jié)橋的基牙修復(fù)UR1缺牙間隙。拔除UR2后,暴露UR3通過固定正畸牽引UR3入牙弓(圖2.41)。

來源于口腔領(lǐng)航




