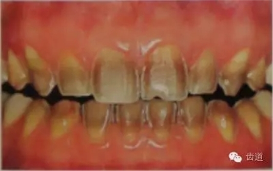
瓷貼面制作完成后,需要醫(yī)生在患者口內試戴,合適后才能粘接。瓷貼面很薄,且易碎,試戴時要特別小心。

1、去除臨時修復體

2、清潔預備面


調改組織面

調改邊緣
瓷貼面很薄,易透出患牙底色,一旦完成粘接就不能取下修改,樹脂粘結劑有多種顏色,為獲得最佳的色彩效果,瓷貼面的試粘結非常必要。
通常樹脂粘結劑都有與其顏色相配套的試粘結劑,用它先將貼面固定于患牙上以預覽顏色效果,此時貼面可隨時取下調改,當選出顏色最恰當?shù)臉渲辰Y劑后,試粘結劑用水沖洗即可清除干凈。

先用5%氫氟酸酸蝕貼面組織面60s,用水沖洗干凈并吹干。再在酸蝕面上涂硅烷偶聯(lián)劑和釉牙本質粘結劑。


偶聯(lián)劑起到一個偶聯(lián)的作用,通過它將兩種性質不同的物質有效相連或親合。

排齦、橡皮障隔離患牙,用37%磷酸酸蝕預備牙齒表面60s,用水沖洗干凈,吹干,涂釉牙本質粘結劑。
一)排齦

二)沖洗

三)酸蝕

四)酸蝕后的預備面

五)涂釉牙本質粘結劑

將適量選定的光固化樹脂粘結劑置于瓷貼面內側,并用器械夾住瓷貼面,將其戴在牙面上,輕壓貼面,確定就位后,用光固化照貼面邊緣2s,待多余粘結劑初步固化后,用潔治器去盡多余樹脂粘結劑,用金剛砂砂條拋光鄰面,最后將貼面各處光照40s。
將適量選定的光固化樹脂粘結劑置于瓷貼面內側。

用器械夾住涂有樹脂粘結劑瓷貼面,將其戴在牙面上,輕壓貼面,確定就位。

待貼面就位后,用光固化照貼面邊緣2s讓多余粘結劑初步固化。

待多余粘結劑初步固化后,用潔治器去盡多余樹脂粘結劑,并用金剛砂砂條拋光鄰面。


貼面固定于牙面后,要再一次檢查確認是否還有殘余粘結劑,調頜、拋光、囑咐患者定期復查。
一)調頜

二)拋光

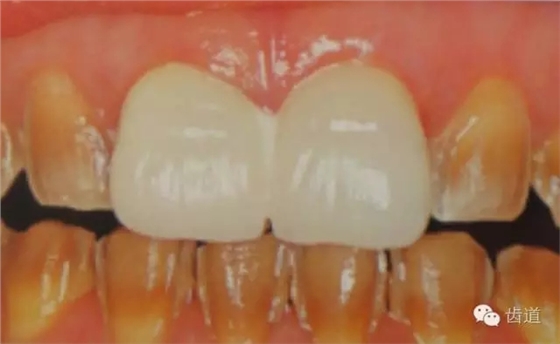
三)完成貼面修復

來源于齒道




