北大口腔醫(yī)院 王宇光醫(yī)師
貼面是臨床常用的解決美觀問題的方法,主要特點是磨除牙齒量比較少,不需要殺神經(jīng),費用相對于全瓷冠比較低。臨床常用于四環(huán)素牙,氟斑牙,前牙間隙等等。

典型的四環(huán)素牙齒,顏色不好,伴缺損,不過好在下牙笑的時候露出來的不是很多,為了給患者省一半錢,我建議她不做下牙,她不干,我就用樹脂給補了補,她覺得還不錯,就沒做下牙。照片如下:


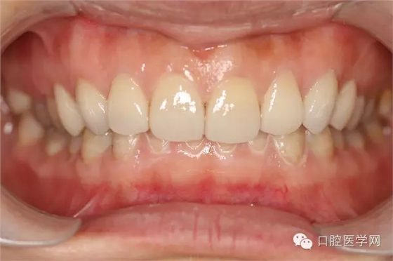
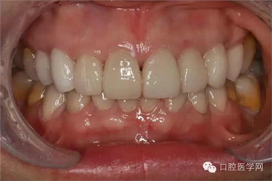
病例2 原來做了樹脂貼面,后來實在忍無可忍,來了,上下牙都磨過了,沒辦法,上下牙都做吧。
治療前:

治療后:

這個病例需要提醒各位的是,如果牙齒本身的顏色比較深,貼面做出來還是會透一點原來的顏色的,不會特別特別好,因為貼面的厚度畢竟有限,如果要求特別白,就要用通透性比較低的瓷片,看起來就不自然了。
病例3:前牙關(guān)閉牙縫的病例,這種情況最適合用貼面不過了。不需要怎么磨牙,很快就能達(dá)到想要的效果,問題是如果縫太大,牙齒會顯得寬,比例不協(xié)調(diào),這個要交流充分和清楚。
治療前:

治療后:

貼面治療并不能解決所有問題,以后也不能肆無忌憚的嗑瓜子和吃鴨脖子,希望對大家有幫助。
來源于北京北一




