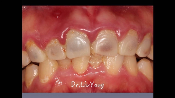
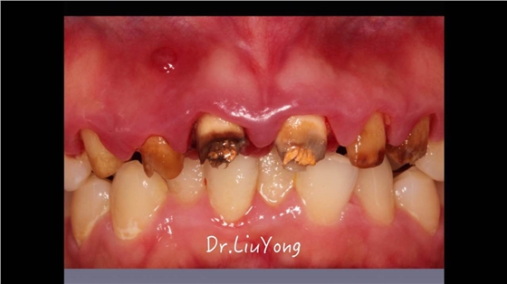
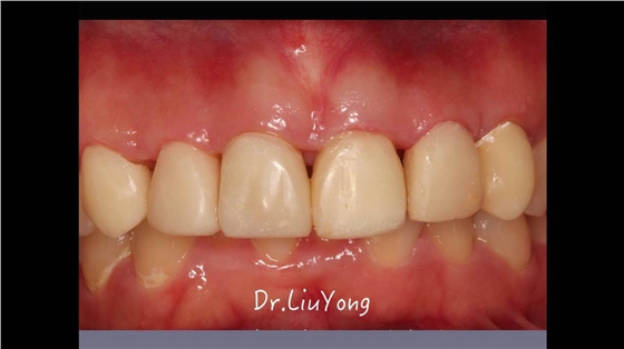
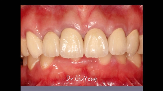
嚴重破壞生物學寬度,根尖瘺管,重行根管治療,第一次冠延長建立唇腭側及鄰面BW, 術后牙齦扇貝形差,齦乳頭黑三角,再次行美學冠延長,建立牙齦扇貝形,手術免費, 患者因經濟原因只能選擇鑄樁及鈷鉻合金烤瓷冠。終于完工










400-0292-070
029-88651307
2016年11月17日10:19
嚴重破壞生物學寬度,根尖瘺管,重行根管治療,第一次冠延長建立唇腭側及鄰面BW, 術后牙齦扇貝形差,齦乳頭黑三角,再次行美學冠延長,建立牙齦扇貝形,手術免費, 患者因經濟原因只能選擇鑄樁及鈷鉻合金烤瓷冠。終于完工










【牙周刮治微學堂】第一期:牙周治療的基本概念產品匯總正畸鉗系列2016年口腔醫(yī)師實踐技能變動(推薦收藏)2016年口腔執(zhí)業(yè)醫(yī)師考試大綱變動情況(推薦收藏)2016年口腔執(zhí)業(yè)醫(yī)師應試指導教材變動情況(推薦收藏)yestarday once more